Protein content and quality of seeds in central mexican maize (Zea mays) accessions
Palabras clave:
Zea mays, maíz, fracciones proteicas, vigor, calidad proteicaResumen

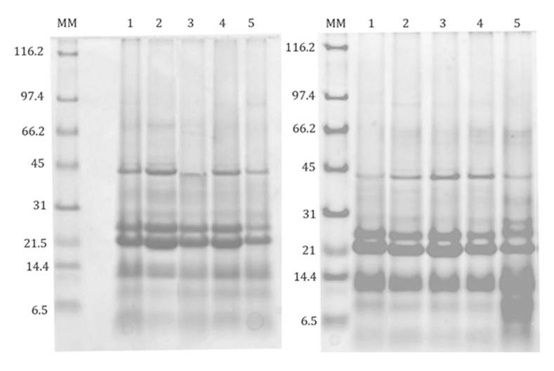
Mexico is the center of the origin, domestication and diversity of maize. This cereal is the main constituent of the Mexican diet, especially in low-income families. In this research, 10 maize accessions derived from a large landrace collection, with the 'INIFAP-QPM' accession and a 'regional landrace' as controls, were studied to identify the accessions with the best biochemical and physiological characteristics showing good adaptation to 'El Bajío' (regional center in Mexico) conditions. The accessions were statistically superior to the two controls in the germination and accelerated aging tests. In the assessment of variable plumule length, variability was observed among the accessions, but the controls showed the lowest values. Protein contents in different fractions (albumins, globulins, prolamins and glutelins) showed variability as did oil and fiber contents. The 'HRH2015' accession showed high contents of albumins and globulins and low contents of prolamins and glutelins. The 'regional landrace' accession exhibited the highest contents of glutelins and prolamins but the lowests content of globulins and albumins. The total percentage of proteins showed variability among the accessions, but the values were within those reported in the literature. The 'RQ2015' accession presented the highest oil content (5.25%). The electrophoretic patterns of prolamins were obtained, and some differences were observed between them. The 'regional landrace' presented the lowest protein content, which was significantly different from those of the other accessions evaluated. This research demonstrates biochemical, germination and vigor variability among the studied maize accessions.
Highlights
- The protein fraction content showed highly significant differences between the accessions, the accession 'HRH2015' presented the highest total soluble protein content.
- The 'HRH2015' accession contained high percentages of the albumin, globulin and prolamin fractions, but a lower percentage of the glutelin fraction, which is a suitable material for breeding.
- The accessions 'A2015', 'POL2015' and 'FVR12015' were superior in seed quality, these accessions could be used in a future breeding program.
Descargas
Descargas
Publicado
Cómo citar
Número
Sección
Licencia
Aquellos autores/as que tengan publicaciones con esta revista, aceptan las Políticas Editoriales.









.jpg)



